Metal & Ceramic Braces

Durable and Effective for a Perfect Smile

Both metal and ceramic braces are reliable and effective orthodontic treatments designed to straighten teeth and correct bite issues. We offer both metal and ceramic braces allowing different aesthetic options, with the same end goal – to improve your smile.

Metal braces are made of high-quality stainless steel, they consist of brackets bonded to the teeth and are connected by an arch wire that gently applies pressure to guide teeth into proper alignment over time. Suitable for patients of all ages, metal braces are highly durable and customizable with colored bands or no colors at all, making them a popular choice for achieving a healthy, confident smile. At our practice, patients have the choice of silver or champagne-gold brackets.

Ceramic braces offer a discreet and comfortable way to achieve a beautiful smile. Similar to metal braces, the tooth colored brackets are bonded to the teeth and influence tooth movement via an arch wire. The translucent bracket material blends with teeth for an almost invisible look.

The process of obtaining metal braces involves several stages, each with specific procedures and timelines to ensure effective treatment. Here’s a comprehensive breakdown

Our Braces Process

1. Initial Consultation and Assessment

Purpose: Discuss patient’s main concerns, evaluate dental alignment and determine the necessity for braces.

Procedure:

  • Comprehensive oral examination
  • Discuss treatment goals and available options based on patient’s specific needs and present orthodontic findings
  • X-rays and photographs to assess teeth and jaw structure
  • Impressions or digital scans to create models of your teeth

Timeline: If patients are ready to proceed after consultation, x-rays and additional records (photos, impressions or scan) can most often be completed the same day. If combined, this appointment can last about 1-2 hours.

2. Treatment Planning

Purpose: Develop a customized plan outlining the orthodontic approach.

Procedure:

  • Analysis of diagnostic records
  • Discussion of treatment options, duration, and expected outcomes

Timeline: This planning phase may take a few days to a couple of weeks, depending on case complexity.

3. Pre-Treatment Preparations

Purpose: Prepare the mouth for braces application. Prior to starting orthodontic treatment, a professional cleaning with your dentist is recommended.

Procedure:

  • Placement of spacers (if necessary) to create space between molars for bands
  • Spacers and bands are typically used only if the your treatment requires specialized appliances

Timeline: Spacers are typically placed 1-2 weeks before braces application.

4. Braces Application

Purpose: Install the braces onto the teeth.

Procedure:

  • Teeth are cleaned and dried
  • Application of a bonding agent to attach brackets
  • Placement of arch wires through the brackets
  • Securing wires with elastic bands
  • Oral hygiene and care instructions are given and explained

Timeline: The application process usually takes about 1-2 hours.

5. Adjustment Appointments

Purpose: Monitor progress and make necessary adjustments.

Procedure:

  • Tightening or changing arch wires
  • Replacing elastic bands
  • Assessing tooth movement and overall progress
  • Ensure treatment progress is a continued team effort with our orthodontists making adjustments during your clinic visits, and you (our patient) are keeping up responsibilities if any home instruction was prescribed

Timeline: Appointments are typically scheduled every 4-8 weeks throughout the treatment duration.

6. Completion and Retention

Purpose: Remove braces and maintain teeth alignment.

Procedure:

  • Removal of brackets and wires
  • Cleaning teeth to remove adhesive residue
  • Records including photos, x-rays, and impressions (used to make retainers) or scans are again taken

Timeline: Braces removal takes about an hour. A second appointment a few days to one week after removal is required for the retainer to be tried in and assessed; retainer wear is typically full-time for the first six months, then nightly thereafter, depending on patient’s retention and tooth stability.

Overall Treatment Duration

Total Time: The entire process, from initial consultation to completion, generally spans 18-24 months, but this can vary based on individual needs and treatment complexity.

Throughout the treatment, maintaining good oral hygiene and adhering to your orthodontist’s instructions are crucial for achieving optimal results.

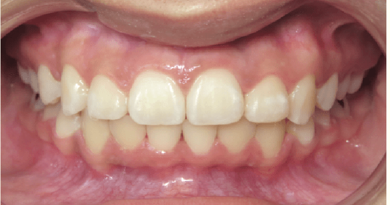
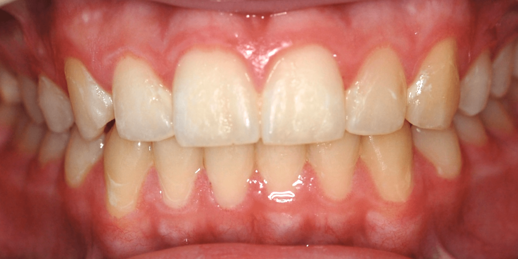
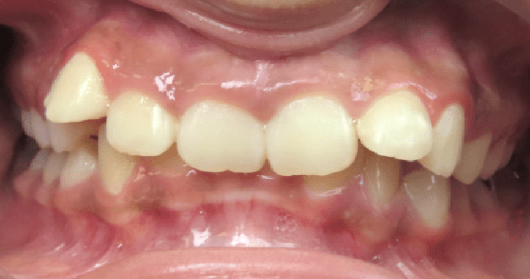
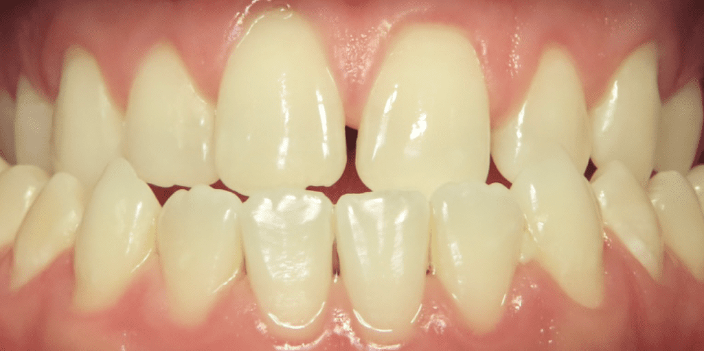
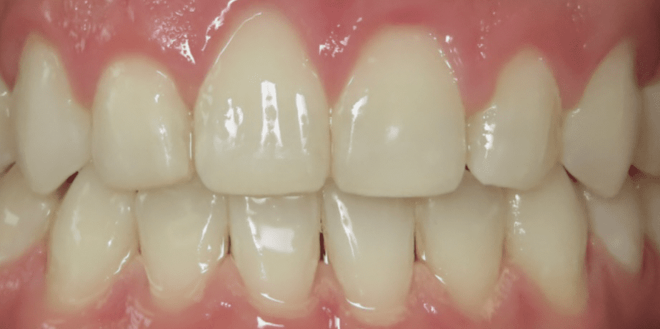
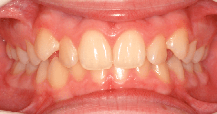
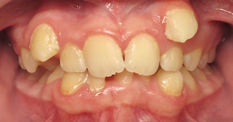
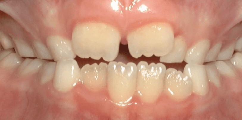
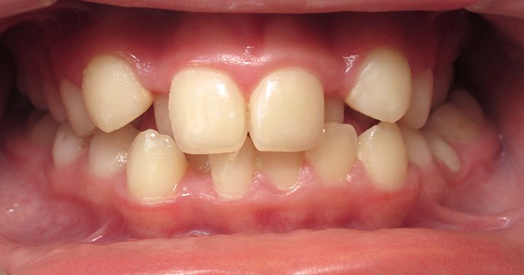
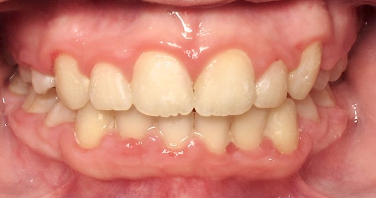
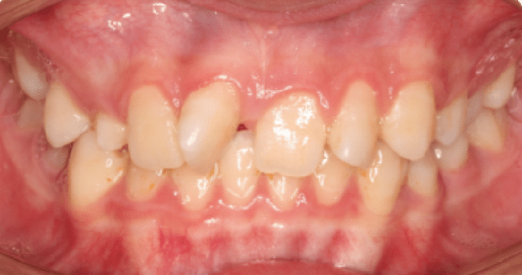
Successful Patients

Use the slider to scroll on each set of images to see the Before & After transformation of patients who have completed treatment with traditional (metal or ceramic) braces.
Ideal oral hygiene before, during, and after treatment is YOUR responsibility in order to have a beautiful, healthy smile.

Frequently Asked Questions

1. How do braces work?
Braces use brackets, wires, and elastic bands to apply gentle, consistent pressure, gradually moving teeth into proper alignment.
2. How long does treatment with braces take?
Treatment length varies depending on each patient’s case. Typically minor cases can be treated in 18-24 months. More complex cases involving jaw alignment, extraction or coordinated care with other dental specialists may take longer.
3. Are braces painful?
Because teeth are gradually shifting over time, patients do feel soreness and pressure. Discomfort can be managed with over the counter pain medication.
4. Can I eat normally with metal braces?
Because braces can be damaged, it is important to pay closer attention to diet and taking care of brackets and appliances. Patients must avoid hard, sticky, or crunchy food throughout treatment.
5. How often will I need adjustments?
Patients are seen by the orthodontist every 6-8 weeks for braces to be evaluated and adjusted.

Please feel free to contact our office and schedule a complimentary orthodontic evaluation.

Abay Ortho Logo

Signup to our newsletter

Mon & Tue 8:30am-5pm
Wed & Thu 8am-4pm
Abay Ortho Logo

Signup to our newsletter

Mon & Tue 8:30am-5pm
Wed & Thu 8am-4pm